Causes Of Hyperinflation Chest X Ray . This may be evidenced by: Web hyperinflated lungs are present in many chronic chest conditions in particular copd and asthma. Web static hyperinflation is caused by a decrease in elasticity of the lung due to emphysema. Web it can be also seen on the chest radiograph comparing the posteroanterior and lateral projections;. Hyperinflated lungs can also flatten. The lungs exert less recoil.
from www.researchgate.net
Web it can be also seen on the chest radiograph comparing the posteroanterior and lateral projections;. Hyperinflated lungs can also flatten. This may be evidenced by: The lungs exert less recoil. Web static hyperinflation is caused by a decrease in elasticity of the lung due to emphysema. Web hyperinflated lungs are present in many chronic chest conditions in particular copd and asthma.
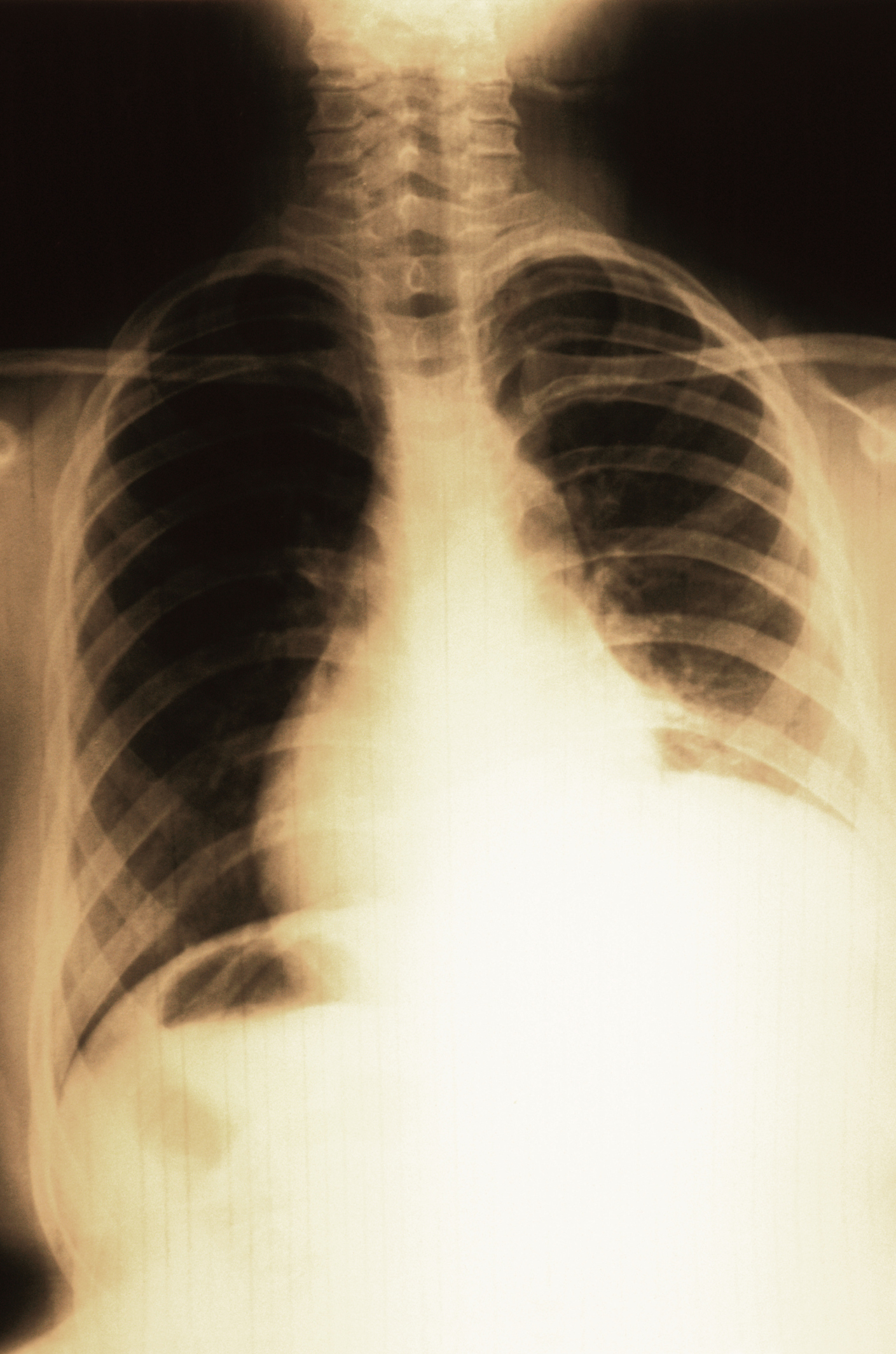
Chest Xray shows Hyperinflated left lung with extreme mediastinal shift
Causes Of Hyperinflation Chest X Ray The lungs exert less recoil. Web it can be also seen on the chest radiograph comparing the posteroanterior and lateral projections;. The lungs exert less recoil. Hyperinflated lungs can also flatten. This may be evidenced by: Web hyperinflated lungs are present in many chronic chest conditions in particular copd and asthma. Web static hyperinflation is caused by a decrease in elasticity of the lung due to emphysema.
From mavink.com
Chest X Ray Lungs Causes Of Hyperinflation Chest X Ray Web it can be also seen on the chest radiograph comparing the posteroanterior and lateral projections;. Web static hyperinflation is caused by a decrease in elasticity of the lung due to emphysema. This may be evidenced by: Web hyperinflated lungs are present in many chronic chest conditions in particular copd and asthma. The lungs exert less recoil. Hyperinflated lungs can. Causes Of Hyperinflation Chest X Ray.
From mavink.com
Interstitial Chest X Ray Causes Of Hyperinflation Chest X Ray Web it can be also seen on the chest radiograph comparing the posteroanterior and lateral projections;. Web static hyperinflation is caused by a decrease in elasticity of the lung due to emphysema. Web hyperinflated lungs are present in many chronic chest conditions in particular copd and asthma. This may be evidenced by: The lungs exert less recoil. Hyperinflated lungs can. Causes Of Hyperinflation Chest X Ray.
From www.researchgate.net
Posterioranterior chest Xray revealing hyperinflation, flattened Causes Of Hyperinflation Chest X Ray Hyperinflated lungs can also flatten. Web static hyperinflation is caused by a decrease in elasticity of the lung due to emphysema. Web hyperinflated lungs are present in many chronic chest conditions in particular copd and asthma. Web it can be also seen on the chest radiograph comparing the posteroanterior and lateral projections;. The lungs exert less recoil. This may be. Causes Of Hyperinflation Chest X Ray.
From mavink.com
Hyperinflated Chest X Ray Causes Of Hyperinflation Chest X Ray This may be evidenced by: Web it can be also seen on the chest radiograph comparing the posteroanterior and lateral projections;. Web hyperinflated lungs are present in many chronic chest conditions in particular copd and asthma. The lungs exert less recoil. Web static hyperinflation is caused by a decrease in elasticity of the lung due to emphysema. Hyperinflated lungs can. Causes Of Hyperinflation Chest X Ray.
From www.researchgate.net
Hyperinflation patternchest radiograph showing pulmonary bilateral Causes Of Hyperinflation Chest X Ray Hyperinflated lungs can also flatten. Web hyperinflated lungs are present in many chronic chest conditions in particular copd and asthma. Web it can be also seen on the chest radiograph comparing the posteroanterior and lateral projections;. The lungs exert less recoil. This may be evidenced by: Web static hyperinflation is caused by a decrease in elasticity of the lung due. Causes Of Hyperinflation Chest X Ray.
From ar.inspiredpencil.com
Hyperinflation Chest X Ray Causes Of Hyperinflation Chest X Ray Web static hyperinflation is caused by a decrease in elasticity of the lung due to emphysema. Hyperinflated lungs can also flatten. This may be evidenced by: Web it can be also seen on the chest radiograph comparing the posteroanterior and lateral projections;. Web hyperinflated lungs are present in many chronic chest conditions in particular copd and asthma. The lungs exert. Causes Of Hyperinflation Chest X Ray.
From www.researchgate.net
Chest xray demonstrating hyperinflated lungs despite intubation Causes Of Hyperinflation Chest X Ray Web hyperinflated lungs are present in many chronic chest conditions in particular copd and asthma. Web it can be also seen on the chest radiograph comparing the posteroanterior and lateral projections;. The lungs exert less recoil. Hyperinflated lungs can also flatten. This may be evidenced by: Web static hyperinflation is caused by a decrease in elasticity of the lung due. Causes Of Hyperinflation Chest X Ray.
From www.youtube.com
Hyperinflated chest x ray YouTube Causes Of Hyperinflation Chest X Ray Hyperinflated lungs can also flatten. The lungs exert less recoil. Web hyperinflated lungs are present in many chronic chest conditions in particular copd and asthma. This may be evidenced by: Web it can be also seen on the chest radiograph comparing the posteroanterior and lateral projections;. Web static hyperinflation is caused by a decrease in elasticity of the lung due. Causes Of Hyperinflation Chest X Ray.
From www.researchgate.net
Chest Xray, AP view Marked hyperinflation, diaphragm at the 11 th rib Causes Of Hyperinflation Chest X Ray Hyperinflated lungs can also flatten. Web static hyperinflation is caused by a decrease in elasticity of the lung due to emphysema. The lungs exert less recoil. Web hyperinflated lungs are present in many chronic chest conditions in particular copd and asthma. This may be evidenced by: Web it can be also seen on the chest radiograph comparing the posteroanterior and. Causes Of Hyperinflation Chest X Ray.
From www.cureus.com
Cureus Surviving Pneumonia A Rare of Compensatory Causes Of Hyperinflation Chest X Ray Hyperinflated lungs can also flatten. Web it can be also seen on the chest radiograph comparing the posteroanterior and lateral projections;. Web hyperinflated lungs are present in many chronic chest conditions in particular copd and asthma. The lungs exert less recoil. This may be evidenced by: Web static hyperinflation is caused by a decrease in elasticity of the lung due. Causes Of Hyperinflation Chest X Ray.
From radiopaedia.org
Image Causes Of Hyperinflation Chest X Ray Web static hyperinflation is caused by a decrease in elasticity of the lung due to emphysema. Hyperinflated lungs can also flatten. This may be evidenced by: Web it can be also seen on the chest radiograph comparing the posteroanterior and lateral projections;. The lungs exert less recoil. Web hyperinflated lungs are present in many chronic chest conditions in particular copd. Causes Of Hyperinflation Chest X Ray.
From ar.inspiredpencil.com
Hyperinflation Chest X Ray Causes Of Hyperinflation Chest X Ray Hyperinflated lungs can also flatten. The lungs exert less recoil. This may be evidenced by: Web hyperinflated lungs are present in many chronic chest conditions in particular copd and asthma. Web it can be also seen on the chest radiograph comparing the posteroanterior and lateral projections;. Web static hyperinflation is caused by a decrease in elasticity of the lung due. Causes Of Hyperinflation Chest X Ray.
From www.researchgate.net
The initial chest xray revealed hyperinflated lungs with diffuse Causes Of Hyperinflation Chest X Ray Hyperinflated lungs can also flatten. Web static hyperinflation is caused by a decrease in elasticity of the lung due to emphysema. The lungs exert less recoil. This may be evidenced by: Web hyperinflated lungs are present in many chronic chest conditions in particular copd and asthma. Web it can be also seen on the chest radiograph comparing the posteroanterior and. Causes Of Hyperinflation Chest X Ray.
From ar.inspiredpencil.com
Pulmonary Embolism Chest X Ray Causes Of Hyperinflation Chest X Ray Web static hyperinflation is caused by a decrease in elasticity of the lung due to emphysema. Hyperinflated lungs can also flatten. This may be evidenced by: The lungs exert less recoil. Web it can be also seen on the chest radiograph comparing the posteroanterior and lateral projections;. Web hyperinflated lungs are present in many chronic chest conditions in particular copd. Causes Of Hyperinflation Chest X Ray.
From www.svuhradiology.ie
Pneumonectomy with compensatory hyperinflation Radiology at St Causes Of Hyperinflation Chest X Ray Web hyperinflated lungs are present in many chronic chest conditions in particular copd and asthma. Hyperinflated lungs can also flatten. Web it can be also seen on the chest radiograph comparing the posteroanterior and lateral projections;. Web static hyperinflation is caused by a decrease in elasticity of the lung due to emphysema. This may be evidenced by: The lungs exert. Causes Of Hyperinflation Chest X Ray.
From proper-cooking.info
Hyperinflation Chest X Ray Causes Of Hyperinflation Chest X Ray This may be evidenced by: Web static hyperinflation is caused by a decrease in elasticity of the lung due to emphysema. The lungs exert less recoil. Web it can be also seen on the chest radiograph comparing the posteroanterior and lateral projections;. Web hyperinflated lungs are present in many chronic chest conditions in particular copd and asthma. Hyperinflated lungs can. Causes Of Hyperinflation Chest X Ray.
From mavink.com
Hyperinflated Chest X Ray Causes Of Hyperinflation Chest X Ray Web static hyperinflation is caused by a decrease in elasticity of the lung due to emphysema. The lungs exert less recoil. Hyperinflated lungs can also flatten. Web it can be also seen on the chest radiograph comparing the posteroanterior and lateral projections;. Web hyperinflated lungs are present in many chronic chest conditions in particular copd and asthma. This may be. Causes Of Hyperinflation Chest X Ray.
From mungfali.com
Hyperinflation Chest X Ray Causes Of Hyperinflation Chest X Ray Hyperinflated lungs can also flatten. Web it can be also seen on the chest radiograph comparing the posteroanterior and lateral projections;. Web hyperinflated lungs are present in many chronic chest conditions in particular copd and asthma. The lungs exert less recoil. Web static hyperinflation is caused by a decrease in elasticity of the lung due to emphysema. This may be. Causes Of Hyperinflation Chest X Ray.